皆さんこんにちは🍀
早いもので、当院に新しい内視鏡システムを導入してから約半年が経とうとしています。
(内視鏡ご紹介記事はこちらhttps://www.yotsuba-ac.com/1339/)
実はここ古河市では、内視鏡検査を受けられる場所がそれほど多くありません😥
「近くにあって本当に助かった」というお声をいただくたびに、導入してよかったなとスタッフ一同、身の引き締まる思いです。
しかし、内視鏡検査と聞くと、
「具体的にどんなことをするの?」
「検査を受けると、どんなメリットがあるの?」
といった疑問をお持ちになる方も多いかもしれません。
そこで今回は、実際に当院の内視鏡が活躍したいくつかの症例を、わかりやすくご紹介したいと思います。
症例① 猫ちゃんの異物誤飲・・・まさかこんなものを!?
2歳の男の子(去勢済)の猫ちゃんが「何度も吐いてしまう」ということで来院されました。
お話を伺い、猫ちゃんの様子を詳しく診察したところ、
何かを飲み込んでお腹に詰まってしまう「消化管閉塞」の可能性が浮上・・・😰
さっそくバリウム検査を行ったところ、やはり異物らしき所見が見つかりました。
「お腹を切る手術が必要かな?」と心配になるところですが、そこで内視鏡の出番です!
胃の中をカメラで確認してみると……

胃の出口に何かが詰まっています💦
カメラの先端についた特殊なピンセット(鉗子)を用いて、
映像を確認しながら慎重に引き出していきます。

するするする~っとゆっくり確実に・・・
出てきたのは、合計3本ものヘアゴムでした😣

猫ちゃんはその後、お腹を切ることなく、その日のうちにスッキリした表情で帰宅することができました✨
退院後は嘔吐の症状もなくなり、元気に過ごせているようです😊
ヘアゴムや紐などは、猫ちゃんにとっては魅力的なおもちゃに見えてしまいますが、飲み込んでしまうと命に関わることもあります。
そのため、1日に複数回の嘔吐が見られる場合は、早めの受診を心がけると安心です🍀
症例② 原因不明の食欲不振
元気いっぱいの盛りである1歳♂のMIX犬くん。
ところが、「食欲が落ちて、吐いてしまう」とのことで当院を受診されました。
まずは全身の状態を把握するために、血液検査とレントゲン検査を・・・。
しかし、結果は意外にも「大きな異常なし」。
一般的に「異常がない」ことは本来喜ばしいことなのですが、
愛犬の食欲不振や嘔吐が心配な飼い主様にとっては、かえって「原因がわからない」という不安につながってしまうこともあります😥
一度は吐き気止めや胃薬を処方し、経過を慎重に見守りましたが、
なかなかスッキリとした改善が見られませんでした。
「何か見落としている原因があるのかもしれない」
「もしかしたら、異物を飲み込んでしまっているのかも…」
といった不安もつきまといます。
そこで飼い主様とご相談を重ね、より詳しくお腹の中の状態を確認するため、後日、内視鏡検査を実施することになりました。
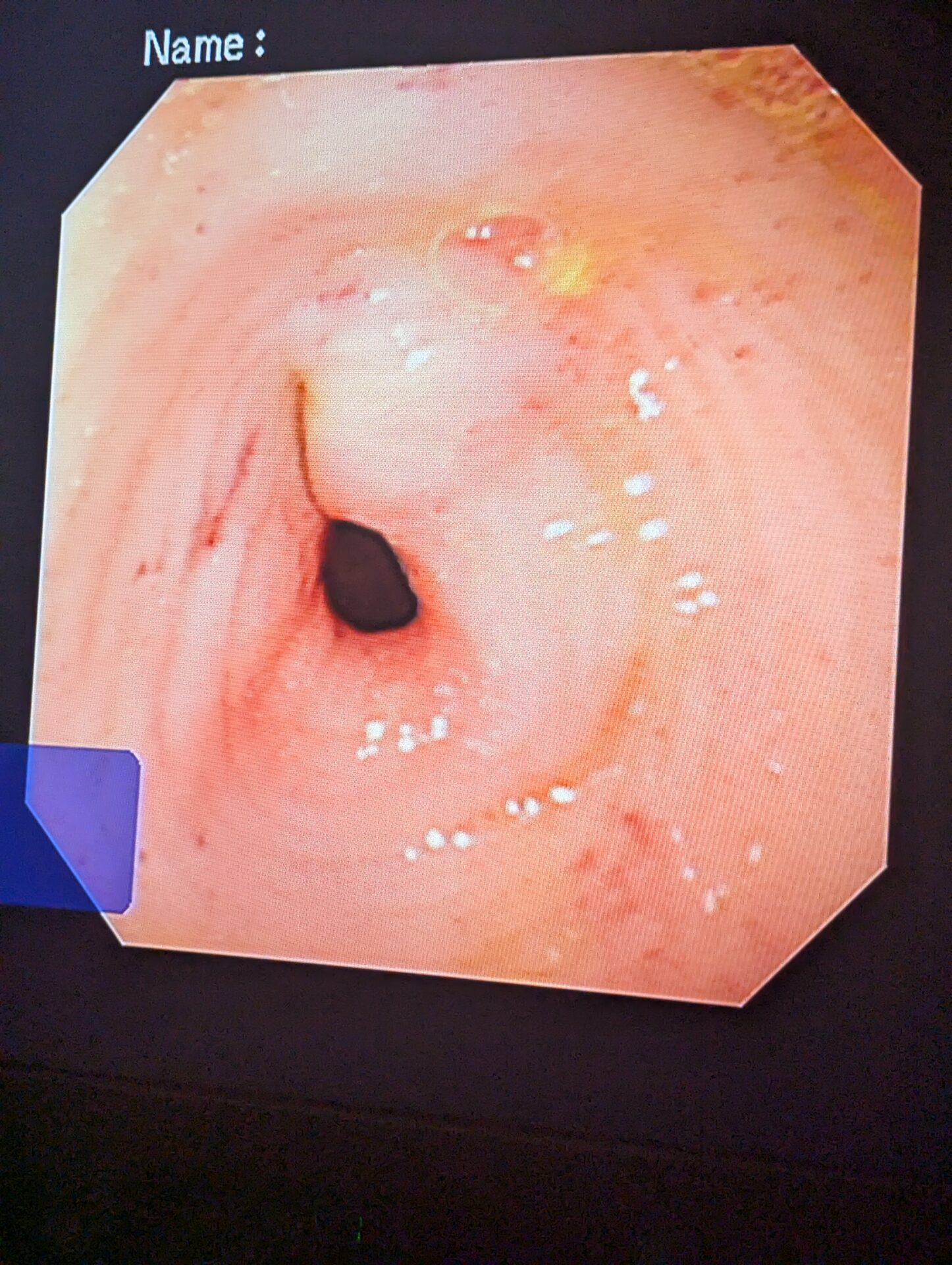
内視鏡で胃から十二指腸にかけてじっくりと確認したところ、以下のような状態が見つかりました。

食道: きれいで異常はありませんでした。

胃の幽門部(胃の出口): わずかに粘膜に点状の出血があり、軽い炎症が見られました。
(ところどころに見られる、赤いポツポツです)

十二指腸付近: こちらも、軽度の炎症が確認されました。
幸い、重い病気や腫瘍、異物の誤飲といった深刻なトラブルは見つかりませんでした😣💦
今回の症状は、この「胃や十二指腸のちょっとした炎症」が原因だったようです。
私たち人間でいう「胃荒れ」に近い状態です。
「悪い病気ではなかった」ということがはっきり分かり、飼い主様もホッと胸をなでおろされていました。
引き続き胃粘膜を保護するお薬などでケアを続けながら、ゆっくりと回復を支えていくことで、
徐々に元気を取り戻したようです🐶✨
言葉を話せないワンちゃんネコちゃんだからこそ、
複数の検査を組み合わせて、総合的に身体の状態を把握することがとても大切です😊
「いつもと違うな」と感じたら、気軽に動物病院を頼ってくださいね。
③ 子猫ちゃんの異物誤飲|やんちゃ盛りゆえに💦
最後は、生後7ヶ月の女の子の猫ちゃんのケースをご紹介します。
「卵パックのテープを食べたかも…」
というご相談を飼い主様からいただきました。
生後7ヶ月という遊び盛りの時期。
キラキラしたものや、カサカサ音のするテープなどは、子猫ちゃんにとって魅力的なおもちゃに見えてしまうことがあります😥
さっそく検査を行いましたが、実はここが難しいポイントです。
プラスチック製の薄いテープやラップなどは、レントゲンやエコー検査ではっきりと映らないことが多々あります。
画像検査で異常が出なくても、飼い主さんの「食べたかもしれない」という疑いや、本人の様子を考慮して慎重に判断する必要があります。
今回もまずはエコー検査を行いましたが、異物や閉塞を疑う所見は認められませんでした。
しかし、「食べたかも」という疑いが強かったため、飼い主様と相談の上、胃の中を直接確認できる内視鏡検査を行いました。
カメラで胃の中をのぞいてみると…やはり、飲み込んでしまったテープを発見。

そのまま内視鏡を使って、摘出を試みます。

慎重に操作して・・・

無事摘出できました!!✨
退院後の経過は非常に良好で、現在は元気に過ごしてくれています。
全身麻酔は必須となりますが、開腹に比べると身体への負担が圧倒的に少ないです。
そのため処置後の回復が早いことが大きなメリットです🍀
まとめ
卵パックのテープや紐などは、どこのご家庭にもある身近なものです。
特に若い猫ちゃんは好奇心が強く、「まさかこんなものを」と思うようなものを口にしてしまうことがあります。
「食べた瞬間を見ていないけれど、ものが無くなっている」
「何度も吐こうとする仕草がある、吐いている」
「なんとなく元気がない、食べない」
そんなときは「いったん様子を見よう」と思わずに、できるだけはやく動物病院へご相談くださいね🐾
